
Шейка матки выступает в верхнюю часть влагалища. Она имеет цервикальный канал, формирующий сообщение между влагалищем и полостью матки. Функция шейки матки заключается в том, чтобы пропускать сперматозоиды в половые пути в тот момент, когда возможно оплодотворение, то есть примерно в момент овуляции. В остальное время, включая беременность, ее функция заключается в защите матки и верхних отделов тракта от инфекций. Кроме того, шейка матки должна быть способна к расширению для обеспечения прохождения плода во время родов.
До первых естественных родов наружный зев шейки матки имеет точечный просвет. После естественных родов наружный зев шейки матки становится щелевидным.


1. Слизистая оболочка
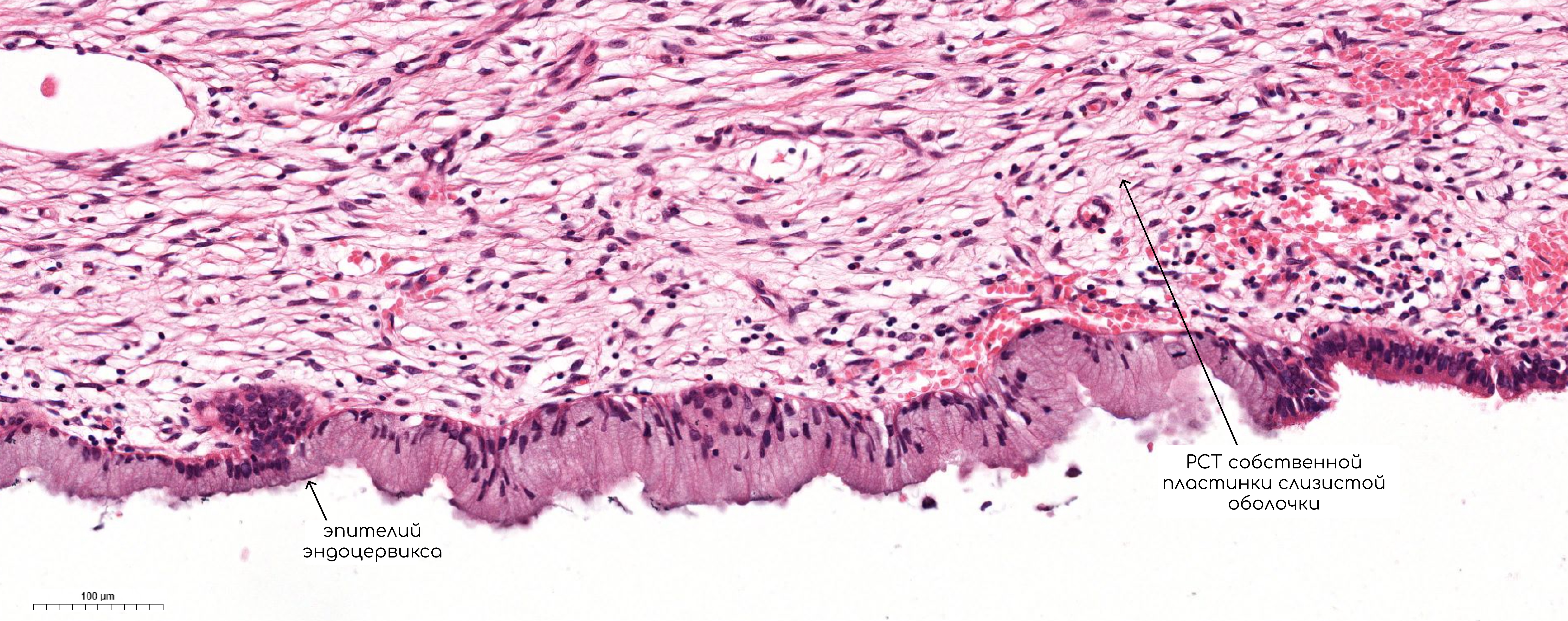
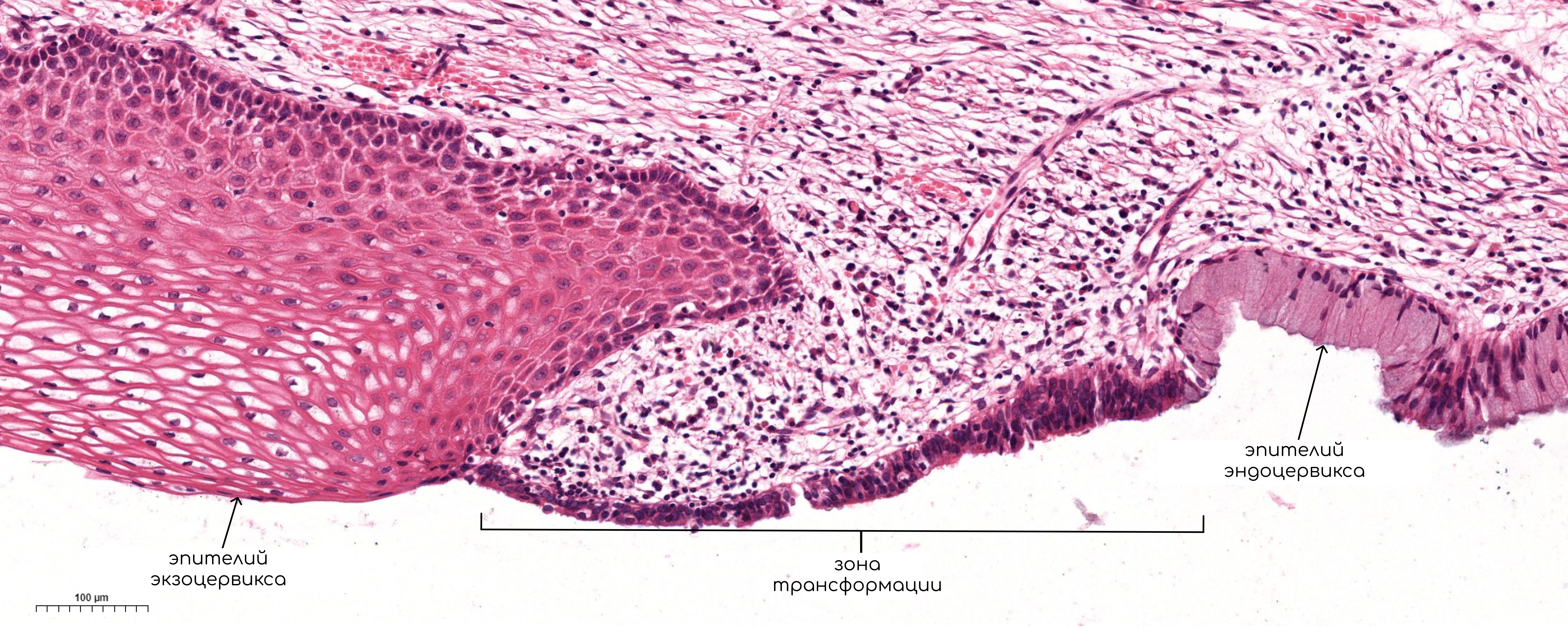
Слизистая оболочка цервикального канала называется эндоцервиксом, она покрыта однослойным однорядным столбчатым железистым эпителием

Слизистая оболочка влагалищной поверхности шейки матки называется экзоцервиксом, она покрыта многослойным плоским неороговевающим эпителием

Место перехода эндоцервикса в экзоцервикс довольно резкое, находится у наружного зева (это точка, в которой цервикальный канал открывается во влагалище) и называется зоной трансформации

2. В отечественной литературе указано, что под слизистой оболочкой находится мышечная оболочка шейки матки, которая представляет собой циркулярный слой гладкомышечных клеток, формирующий сфинктер матки
По данным зарубежной литературы под слизистой оболочкой располагается плотная неоформленная соединительная ткань, содержащая большое количество коллагеновых и эластических волокон, а также небольшое количество гладкомышечных клеток

Больше информации, схем и микропрепаратов в нашем курсе «Гистологическое строение мочеполовой системы».
Читайте также про виды кардиомиоцитов.